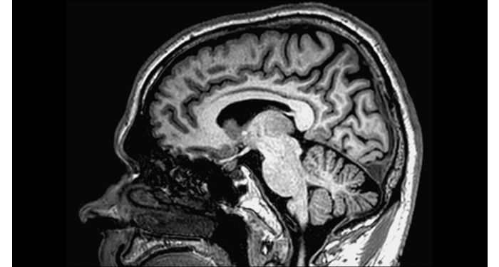
70% of radiologists consider neuro indications to be challenging, mostly due to a lack of appropriate imaging and visualization techniques¹. Philips aims to provide the best possible diagnostic clarity and treatment guidance for all patients with neurological disorders. By leveraging our dStream digital platform, this year, we are introducing, a set of novel imaging and visualization strategies. These may empower you to resolve complex neuro questions with more certainty, as well as unlock new neuro territories in advanced Neurofunctional applications. This is a key step towards elevating neuro diagnostics and ultimately touching more lives with MR imaging. ¹ TMTG Market Survey 2016
¹ SmartExam is not available to patient with MR Conditional Implants
¹ SmartExam is not available to patient with MR Conditional Implants

Clinical cases from nearly every anatomy Explore 100+ clinical cases from your peers around the globe, that showcase how Philips MR digital technology strengthens your imaging needs.

Learn about technical background, protocol optimization strategies, imaging pitfalls and future directions.

Visit our NetForum online community to share clinical experiences, optimize results, and learn from peers around the globe.

Discover how Philips can help you select the right MRI coils that suit your imaging needs. Learn more about our different MRI coils.
You are about to visit a Philips global content page
ContinueOve internet stranice namijenjene su isključivo osoblju koje se koristi medicinskim proizvodima u obavljanju svoje djelatnosti, uključujući zdravstvene radnike, osoblje koje postupa u ime zdravstvenih institucija i/ili osoblje koje se profesionalno bavi trgovinom medicinskim proizvodima.
Spadate li u kategoriju osoba koje udovoljavaju gornjim kriterijima?