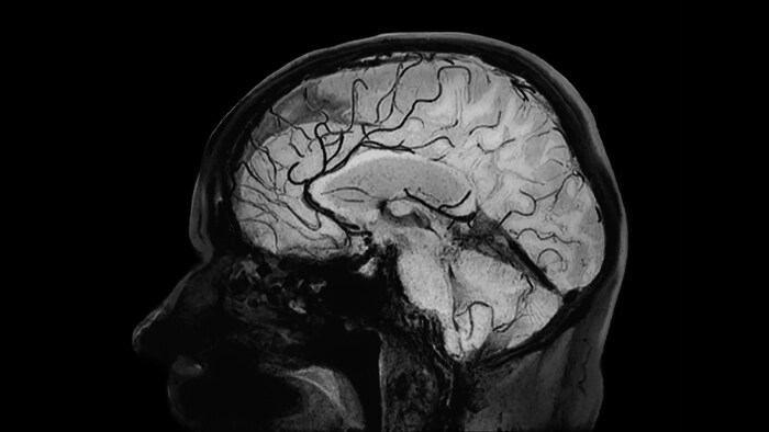
Black Blood imaging

Co-Creation Facility University of Washington, USA
Kyushu University, Japan
Year
2017

Co-Creation Facility University of Washington, USA
Kyushu University, Japan
Year
2017
You are about to visit a Philips global content page
ContinueOve internet stranice namijenjene su isključivo osoblju koje se koristi medicinskim proizvodima u obavljanju svoje djelatnosti, uključujući zdravstvene radnike, osoblje koje postupa u ime zdravstvenih institucija i/ili osoblje koje se profesionalno bavi trgovinom medicinskim proizvodima.
Spadate li u kategoriju osoba koje udovoljavaju gornjim kriterijima?